人类半乳凝素固有的碳水化合物结合特异性可作为生物技术和生物医学应用中的识别元素。半乳凝素的碳水化合物识别域 (CRD) 与肽或蛋白质融合,用于纯化、固定和成像,可在单个蛋白质内实现多功能利用。我们在此展示了一个彩色编码的半乳凝素融合蛋白库,其中包含 His6 标签、荧光蛋白和 SpyCatcher 或 SpyTag 单元,以实现固定程序。这些半乳凝素融合蛋白表现出与非融合半乳凝素相似的结合特性,具有微摩尔表观结合亲和力。N 端和 C 端融合伙伴不会干扰 SpyCatcher/SpyTag 固定。通过应用 SpyCatcher/SpyTag 介导的 SC-ST-Gal-3 结合物,我们展示了体外三层 ECM 样结构的逐步形成。此外,我们还展示了 SpyCatcher/SpyTag 介导的微凝胶中半乳糖凝集素的固定,这可以作为局部靶向应用的运输平台。半乳糖凝集素介导的微凝胶与结直肠癌细胞的结合提供了概念验证。
半乳凝素是一类与含 β-半乳糖基的糖蛋白结合的蛋白质。哺乳动物半乳凝素的生理意义体现在它们在细胞水平上的多种功能,例如介导细胞与蛋白质之间的细胞外交联事件或通过诱导细胞内信号通路来调节细胞凋亡和炎症过程。除了对半乳凝素抑制化合物的研究外,生物医学界对利用半乳凝素固有的碳水化合物结合特性的兴趣也日益浓厚。半乳凝素已被用于治疗各种炎症疾病、癌症和肾炎。半乳凝素结合特异性的生物技术应用也已在半乳凝素介导的仿生细胞外微环境组装中得到证实。之前已有报道称,半乳凝素融合蛋白有望用于诊断和治疗。这些包括半乳糖凝集素嵌合体、半乳糖凝集素-3融合蛋白以及酶载体。我们之前已经表明,半乳糖凝集素融合蛋白可作为糖生物学应用的功能性工具。这些蛋白质含有多种成分,包括用于纯化的His6标签、用于固定的SNAP标签、用于成像应用的荧光蛋白以及用于碳水化合物结合的Gal-3或Gal-1 CRD。这些蛋白质通过体外结合试验表征,并成功应用于流式细胞分选或Gal-3亲和柱的制备。在扩展我们的半乳糖凝集素融合蛋白库后,进一步的分析表明,SNAP标签的寡聚化在体外试验中诱导了明显的结合信号增加。这促使我们重新考虑在后续研究中应用的固定系统。除了 SNAP 技术之外,SpyCatcher/SpyTag (SC/ST) 机制是一种常用的蛋白质部分固定和交联系统。该系统是通过将化脓性链球菌 (S. pyogenes) 的纤连蛋白结合蛋白结构域分裂成肽 (SpyTag) 和蛋白质 (SpyCatcher) 而设计的,它们分别在 Asp117 和 Lys31 之间自发形成稳定的酰胺键。SC/ST 系统在温度、缓冲系统和反应时间方面提供了简单的反应条件。后来,人们开发了 SpyCatcher 和 SpyTag 的各种变异版本,以加速异构肽的形成。SC/ST 固定化技术的多功能性已在各种研究中得到证实,包括疫苗研究、蛋白质纯化、人工蛋白质结构的设计、工业应用以及基于蛋白质的水凝胶和生物膜材料的生产。
SC/ST 技术是一种很有前途的工具,可用于在微凝胶中选择性共价固定蛋白质单元。微凝胶是软聚合物网络,在合适的溶剂中膨胀,形成尺寸从纳米到微米的胶体凝胶。微凝胶的多孔结构使蛋白质和其他客体分子能够被吸收到微凝胶壳或核心中。不同的研究小组之前曾使用选择性相互作用在微凝胶中固定蛋白质。通过分选酶 A 介导的两个肽序列之间的结合,选择性 eGFP(增强型绿色荧光蛋白)固定得到了证实。Sommerfeld 等人阐述了 SC/ST 介导的糖基转移酶修饰微凝胶的合成,用于聚糖合成。PEG 基微凝胶的生物相容性对于生物应用至关重要,例如开发新疗法, 抗体的递送或毒素的清除。
糖萼和细胞外基质 (ECM) 形成复杂的糖蛋白、蛋白聚糖、水和各种大分子网络,这些大分子能够实现细胞间相互作用,并维持不同组织内的结构完整性。在癌症和慢性炎症等疾病状态下,糖基化模式以及 ECM 微环境会发生改变,从而产生用于半乳凝素结合的聚糖表位。因此,半乳凝素功能化微凝胶可通过利用半乳凝素的 β-半乳糖基结合能力有效地靶向细胞表面。此外,半乳凝素定向的糖蛋白交联可用于慢性组织炎症,以人工重建受损的细胞外网络。
在本研究中,我们首次报告了使用 SpyCatcher/SpyTag 固定系统制备颜色编码的半乳糖凝集素融合蛋白库(方案 1)。我们通过体外结合试验比较了这些半乳糖凝集素融合蛋白与各种糖蛋白的结合行为,从而确认了这些半乳糖凝集素融合蛋白的功能和特性。通过体外 ECM 样结构的逐层组装,说明了带有 SpyCatcher 和 SpyTag 的半乳糖凝集素融合蛋白的多功能性。我们还展示了半乳糖凝集素功能化微凝胶的制造及其与癌细胞表面的结合,并通过流式细胞术检测。所提出的靶向和运输半乳糖凝集素功能化平台是生物医学研究的新工具,很有前途。

方案 1:彩色编码的 SpyCatcher 和 SpyTag 半乳糖凝集素融合蛋白的应用。左图:人工细胞外基质 (ECM) 的逐层组装;右图:半乳糖凝集素功能化微凝胶靶向聚糖呈递细胞(使用 BioRender.com 创建);Gal-3,半乳糖凝集素-3。

图 1:Gal-3 融合构建体与 ASF 的结合。A:固定化 ASF 的体外结合试验示意图(使用 BioRender.com 创建)。B:显示 HSC003eYFPGal-3 (●)、HST003eYFPGal-3 (■) 和 HGal-3 (●) 的结合。使用过氧化物酶偶联的抗 His6 抗体定量半乳糖凝集素结合。通过比色 TMB 底物的转化确定三个数据点的平均信号。标准偏差表示为误差。

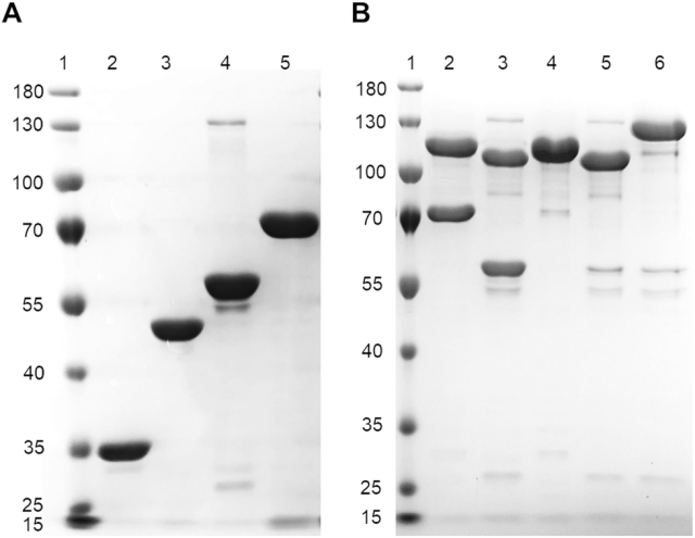
图 2:利用 SpyCatcher003–SpyTag003 技术对半乳糖凝集素融合蛋白和 sfGFP 相互作用进行 SDS-PAGE 分析。A:未相互作用的单个蛋白质(1:分子量标准 10–180 kDa;2:strep-ST003-sfGFP(33.8 kDa);3:strep-SC003sfGFP(44 kDa);4:HST003eYFPGal-3(57.5 kDa);5:HSC003eYFPGal-3(67.2 kDa))。B:不同摩尔比的 [SpyCatcher003:SpyTag003]-缀合物(1:分子量标准 10-180 kDa;2:[strep-ST003-sfGFP[薄间距(1/6-em)]:[薄间距(1/6-em)]HSC003eYFPGal-3] 摩尔比 1[薄间距(1/6-em)]:[薄间距(1/6-em)]2 (101 kDa);3:[strep-SC003-sfGFP[薄间距(1/6-em)]:[薄间距(1/6-em)]HST003eYFPGal-3] 摩尔比 1[薄间距(1/6-em)]:[薄间距(1/6-em)]2 (101.5 kDa);4:[strep-ST003-sfGFP[薄间距(1/6-em)]:[薄间距(1/6-em)]HSC003eYFPGal-3] 等摩尔(101 kDa);5:[strep-SC003-sfGFP[薄间距(1/6-em)]:[薄间距(1/6-em)]HST003eYFPGal-3] 等摩尔(101.5 kDa);6:[HSC003eYFPGal-3:HST003eYFPGal-3] = SC–ST-Gal-3 结合物等摩尔(124.7 kDa))。SpyCatcher003–SpyTag003 反应在 PBS pH 7.5 中于 25 °C 下进行 60 分钟。SDS-PAGE:10% 还原胶;200 V(恒定),75 分钟;考马斯亮蓝染色。

图 3:SC–ST-Gal-3 结合物与 ASF 的结合。A:ASF 体外结合试验示意图(使用 BioRender.com 创建)。B:将 HSC003eYFPGal-3 和 HST003eYFPGal-3(各 10 μM)混合并在 4 °C 和 20 rpm 下孵育 1 小时,得到 SC–ST-Gal-3 结合物溶液(5 μM)。将 SC–ST-Gal-3 结合物的稀释液与 ASF 一起孵育。使用过氧化物酶偶联的抗 His6 抗体鉴定结合。两个数据点的平均信号由 TMB 转换确定。标准偏差表示为误差线。

方案 2:彩色编码的 SpyCatcher 半乳糖凝集素融合蛋白。A:在基因水平上构建颜色代码(使用 BioRender.com 创建);B:在大肠杆菌中生产重组荧光融合蛋白。Gal-1C2S:aa(氨基酸)1–135(Uniprot 条目:P09382);Gal-3:aa 1–250(Uniprot 条目:P17931);Gal-4NL:aa 1–160(Uniprot 条目:P 56470);LGal-4C:aa 169–323(Uniprot 条目:P 56470);Gal-8NL:Gal-8 异构体 b 的 aa 1–160;LGal-8C:Gal-8 异构体 b 的 aa 182–317。

图 4:使用 SpyCatcher 和 SpyTag 偶联的 Gal-3 融合蛋白在体外逐层形成 ECM 样结构。左图:层组装组件的简化示意图(使用 BioRender.com 创建)。右图:从结合数据中提取的结合曲线。通过添加 SC–ST-Gal-3 偶联物进行层粘连蛋白、纤连蛋白和 IV 型胶原蛋白的逐步聚糖介导交联。使用相应蛋白质的结合试验确定所需的糖蛋白和 SC–ST-Gal-3 偶联物的量。A:SC–ST-Gal-3 偶联物与层粘连蛋白单层结合(饱和度为 2.5 μM);B:纤连蛋白与 SC–ST-Gal-3 偶联物层结合(饱和度为 10 μM);C:SC–ST-Gal-3 偶联物与纤连蛋白层结合(饱和度为 5 μM);D:胶原蛋白 IV 与第二层 SC–ST-Gal-3 共轭层的结合。平均信号由两个数据点确定。标准偏差表示为误差。

图 5:荧光 SpyCatcher 半乳糖凝集素融合蛋白构建体与 DLD-1 细胞表面的结合。将不同浓度的 (A) HSC003DsRedMGal-1C2S (B) HSC003eYFPGal-3 (C) HSC003mCherryGal-4NL (D) HSC003mCherryLGal-4C 溶于 PBS/BSA 缓冲液 (50 mM NaH2PO4/150 mM NaCl/1% v/w BSA, pH 7.5; 总体积 50 μL) 中,加入 DLD-1 细胞悬浮液 (每孔 105 个细胞),在冰上孵育 1 小时,偶尔轻轻搅拌。用 PBS/BSA 缓冲液清洗细胞,然后通过流式细胞术分析表面结合的 SpyCatcher 半乳糖凝集素融合蛋白的结合强度,并将其量化为相应波长下的平均荧光强度(MFI 全融合蛋白 – 不含半乳糖凝集素的 MFI 融合蛋白)。进行了两次独立实验,每次重复。数据以平均值 ± SEM 表示。

图 6:乳糖抑制 SpyCatcher 半乳糖融合蛋白构建体与 DLD-1 细胞表面的结合。将 DLD-1 细胞悬浮液 (50 μL) 加入不同浓度的乳糖 (200 mM、100 mM) 中,PBS/BSA 缓冲液 (50 mM NaH2PO4/150 mM NaCl/1% v/w BSA,pH 7.5;总体积 50 μL) 中含有 (A) HSC003DsRedMGal-1C2S、(B) HSC003eYFPGal-3 和 (C) HSC003mCherryGal-4NL。数据以阳性对照的百分比表示,阳性对照设为 100%;平均值 ± SEM。****P < 0.0001 与不含乳糖的对照相比 (ANOVA 与 Bonferroni 事后检验)。

图 7:通过 SpyCatcher–SpyTag 技术制备的半乳糖凝集素功能化微凝胶。将 SpyTag003 呈递微凝胶和非功能化微凝胶 (50 μL) 的悬浮液与 27.3 μM SpyCatcher003-半乳糖凝集素融合蛋白一起孵育 24 小时 (25 °C 下 1 小时,然后在 4 °C 下 23 小时),然后用 pH 7.5 的 PBS 进行清洗。随后,用共聚焦显微镜观察半乳糖凝集素功能化的微凝胶(DsRedM:λex:561nm,λem:575-650nm;eYFP:λex:476nm,λem:500-550nm;mCherry:λex:561nm,λem:600-650nm;eGFP:λex:488nm,λem:500-550nm)。A-D:非功能化微凝胶(对照);E-H:SpyTag003 呈现携带半乳糖凝集素构建体的微凝胶;E:HSC003DsRedMGal-1C2S;F:HSC003eYFPGal-3;G:HSC003mCherryGal-4NL;H:HSC003eGFPGal-8NL。

图 8:SpyCatcher003-半乳糖凝集素融合蛋白与 SpyTag003 呈递微凝胶的结合效率。在 SpyCatcher/SpyTag 介导的半乳糖凝集素附着到微凝胶后,使用 Bradford 测定法测量上清液中剩余的 HSC003eYFPGal-3 量,然后将计算出的结合量与初始添加量(设置为 100%)进行比较。使用 Anova 统计分析法分析了与非功能化微凝胶相比的 SpyCatcher/SpyTag 介导的半乳糖凝集素结合效率,置信区间为 p < 0.001(0.000575)(n = 2)。误差线表示标准偏差。

图 9:半乳糖凝集素功能化微凝胶 (Gal-MG) 与 DLD-1 细胞表面的结合。Gal-MG 与 DLD-1 细胞结合的代表性荧光显微镜图像。将细胞与 Gal-MG 一起孵育并用 HBSS 清洗。这些图像是使用 Fiji 软件制作的荧光和明场图像的合成图。(A) Gal-1C2S-DsRedM-MGs (B) 200 mM 乳糖 (Lac) 抑制的 Gal-1C2S-DsRedM-MGs (C) Gal-3-eYFP-MGs (D) 200 mM Lac 抑制的 Gal-3-eYFP-MGs,(E) 阴性对照 – 不含 Gal、不含 Lac 的细胞,(F) Gal-4NL-mCherry-MGs (G) 200 mM Lac 抑制的 Gal-4NL-mCherry-MGs (H) LGal-4C-mCherry-MGs (I) 200 mM Lac 抑制的 LGal-4C-mCherry-MGs。(J) 仅含微凝胶的对照(无 Gal-MG、无 Lac)。比例尺代表 100 μm。
微流体器件加工
使用软光刻技术准备微流体装置的母模模具。使用 AutoCAD? 软件,将微流体通道设计为二维图形,然后打印在高分辨率(25000 dpi)暗场光掩模上。然后通过对打印的光掩模进行光刻,将环氧基光刻胶(SU-8)图案化到硅晶片上,以形成使用的母模。为了生产基于 PDMS 的微流体器件,使用了软光刻技术。Sylgard 184 弹性体套件(Mavom)用于填充母模,更具体地说是 10 份硅氧烷和 1 份固化剂(交联剂)的双组分混合物。填充母模后,混合物在 60°C 下固化过夜,形成完全交联的聚二甲基硅氧烷 (PDMS) 器件。小心地取出装置,并使用 0.75 毫米活检穿刺器将其连接到管子上。用异丙醇和水清洗装置和玻璃载玻片,并在 60 °C 下干燥 1 小时,然后进行氧等离子体处理。PDMS 和玻璃载玻片粘合形成不可逆键,这得益于在等离子体处理过程中引入极性 Si–Ox、Si–OH 和 C–OH 基团。为了最大限度地减少微流体通道中的润湿,应用了 Aquapel (PWG Auto Glass, LLC) 疏水膜 并在暴露 2 分钟后用空气冲洗通道 或者 采用Fluo-ST3疏水试剂处理沟道表面,形成表面疏水性质,增强液滴微球的产生和液滴稳定性。
对于微流体实验,使用由三个注射泵(PHD Ultra,Harvard Apparatus)组成的微流体平台。每个注射泵中都放置了 GASTIGHT 注射器(Hamilton,美国),以精确控制微流体芯片上的流速。通过内径为 0.38 毫米的细孔 PE 管,将注射器连接到通道直径为 80 微米的 PDMS 微流体器件上。在合成过程中,倒置显微镜(Motic AE2000,TED PELLA,INC.,加利福尼亚州雷丁)配有摄像头(Flea3,Point Grey,加利福尼亚州里士满)可以实时观察微流体流动和液滴形成。
将两种不同的水相(每种水相的流速均为 150 μL/h)分别引入微流体器件。这些相合并到单个通道中,保持层流条件。合并后,使用不混溶油相(Novec HFE-7500 和 2% w/w FluoSurf-C 表面活性剂,Emulseo)将水流转化为流动聚焦微流体通道中 600 μL/h 的油包水 (W/O) 液滴。液滴中的预聚物发生迈克尔型加成反应,形成单分散球形微凝胶。为了纯化微凝胶,用 HFE-7500(Emulseo)清洗三次,用正庚烷清洗一次,用 PBS 清洗五次。
两个水相由含有 PEG 硫醇(PEG-SH,Biopharma PEG Scientific Inc.)的 SH 相和含有 PEG 乙烯基砜(PEG-VS,Creative PEGWorks)的 VS 相组成。为了制备 SpyTag 功能化的微凝胶,VS 相由 5% w/v 8 臂 PEG-VS(20 kDa)在 100 mM HEPES pH 8 中制备而成。SH 相含有 2.5% w/v 4 臂 PEG-SH 溶液(10 kDa)和 1% w/v SpyTag(溶于 H2O),因为所用的肽在缓冲液中的溶解度较低。肽 C-SpyTag003(BioCat GmbH,纯度 98%),指定为 SpyTag003,是使用序列 CRGVPHIVMVDAYKRYK(2034.06 g mol?1)定制合成的。微流体合成是根据我们之前的工作设计的,其中过量的 VS 功能团用于通过掺入的半胱氨酸连接 Spy-Tag。对于非功能化微凝胶的制备,2.5% 100 mM HEPES pH 8 中的 2.5% w/v 4 臂 PEG-VS 溶液 (10 kDa) 形成 VS 相。SH 相用 100 mM HEPES pH 8 中的 2.5% w/v 4 臂 PEG-SH (10 kDa) 制备。使用 Olympus cellSens Standard 3.2 软件,使用配备相机 (Olympus DP23) 的 Olympus CKX53 捕捉微凝胶的显微镜图像。使用 Fiji (ImageJ) 确定微凝胶尺寸,至少测量 20 个粒子进行分析。
将半乳凝素与微凝胶结合
微凝胶合成和纯化后,将半乳凝素后附着到微凝胶上。因此,将 50 μL 浓缩的微凝胶分散液(PBS pH 7.5)与 500 μL 30 μM 半乳凝素溶液(最终浓度:27.3 μM)混合。在室温下,在 500 rpm 的涡旋振荡器中混合 1 小时后,将混合物在 4 °C 下再储存 23 小时。通过去除上清液并用 PBS 洗涤两次来纯化半乳凝素微凝胶。保留上清液以进行进一步分析。通过测定上清液中的半乳凝素浓度,可以确定固定化半乳凝素的量。
细胞培养
人类腺癌 DLD-1 细胞系由 P. ?ebo 教授(捷克科学院微生物研究所,布拉格)友情提供。细胞在补充有 10% v/v 胎牛血清和 1% v/v 抗生素混合物(青霉素,100 U/mL,链霉素,100 g/mL;均为 Gibco,Thermo Fisher Scientific)的 RPMI 中培养。细胞在 37 °C 下含有 5% CO2 的加湿环境中孵育。
半乳糖凝集素融合蛋白与结直肠癌细胞的结合
将 PBS/BSA 缓冲液(50 mM NaH2PO4/150 mM NaCl/1% w/v 牛血清白蛋白,pH 7.5)中连续稀释的半乳糖凝集素融合蛋白与 U 底 96 孔组织培养测试板中的 DLD-1 细胞悬浮液(1 × 10^5,100 μL 最终体积)混合,并在冰上孵育 60 分钟。通过用乳糖(200 和 100 mM)抑制来验证碳水化合物驱动的半乳糖凝集素结合。用 PBS/BSA 缓冲液清洗细胞并离心(200g,3 分钟,4 °C)。用 Hoechst 33258 染料(1 mg mL-1)通过流式细胞术分析细胞(悬浮在 PBS/BSA 缓冲液中)。进行了两次独立实验,重复两次。在使用 FlowJo 软件(Tree Star,美国俄勒冈州阿什兰)进行数据分析时,通过适当的门控排除细胞聚集体和死细胞。数值以平均值和 SEM 给出。
半乳糖凝集素功能化微凝胶与细胞表面的结合
将DLD-1细胞接种到24孔板的完全培养基中,细胞密度为12×10^5,最终体积为500μL。孵育40小时后(细胞汇合率约90%),用Hanks平衡盐溶液(HBSS)清洗细胞。偶联后,将半乳糖凝集素功能化微凝胶溶解在200μL HBSS或200mM乳糖(HBSS中)中,加入细胞中,在冰上孵育1小时。在HBSS中清洗后,使用配备10×2PH-UPLFLN/0.3 N.A.物镜的Olympus IX83荧光显微镜检查样品。使用适当的滤光片组来激发/发射荧光标记的蛋白质。使用FiJi软件生成的图像由荧光和明场图像组成。
细胞毒性
根据制造商的方案,使用 CellCounting Kit-8 (CCK-8) 测试 HGal-3 的细胞毒性。简而言之,将 DLD-1 细胞 (每孔 20000 个细胞) 接种在 96 孔板中的 100 μL 标准生长培养基中。过夜稳定后,除去用过的培养基,用连续稀释的 HGal-3 (最终浓度为 0.5-30 μM) 处理细胞并培养 24 小时。然后,向每个孔中加入 10 μL CCK-8 溶液。2 小时后,使用 Sunrise Absorbance Microplate Reader (Tecan Group Ltd, Maennedorf, Switzerland) 在 450 nm 处测量吸光度。所有样品至少测试两次。确定细胞的相对活力,将阴性对照 (不含物质) 设置为 100%。
本研究展示了半乳糖凝集素融合蛋白作为创新糖工具在生物医学相关应用方面的广泛潜力,特别是在慢性炎症的背景下。我们建立了一个颜色编码的 SpyCatcher 半乳糖凝集素融合蛋白库,并对糖蛋白、ECM 糖复合物和细胞表面进行了体外结合试验,揭示了它们对各自配体的功能和结合亲和力。SpyCatcher/SpyTag 固定技术实现了体外逐层构建 ECM 类网络和合成半乳糖凝集素功能化微凝胶,这些微凝胶通过半乳糖凝集素和糖萼碳水化合物之间的相互作用靶向 DLD-1 糖萼。这些发现为将功能性和生物相容性材料(如微凝胶)运输到所需位置提供了前景。未来的研究应探索将不同的半乳糖凝集素结合域相互结合,以阐明新组合构建体的性质。此外,利用 IBD 患者的原代细胞可以更准确地描绘出这种疾病中天然细胞表面糖基化的情况,并将成为未来研究的主题。总之,这项研究证明了半乳糖凝集素融合蛋白作为生物材料科学新工具的潜在用途。
参考文献:
Dey C, Sommerfeld IK, Bojarová P, Kodra N, Vrbata D, Zimolová Vlachová M, K?en V, Pich A, Elling L. Biomater Sci. 2025 Feb 5. doi: 10.1039/d4bm01148a.